Does Ct Scan Show Breast Cancer / Breast Cancer Wikipedia : A ct scan can show possible concerning findings based on a radiologist's interpretation of what is seen.
Dapatkan link
Facebook
X
Pinterest
Email
Aplikasi Lainnya
Does Ct Scan Show Breast Cancer / Breast Cancer Wikipedia : A ct scan can show possible concerning findings based on a radiologist's interpretation of what is seen.. A low dose ct scan of the chest exposes patients to 1.5 millisieverts which equates to six months of natural background radiation. Very small areas of breast cancer may not show up on a. — written by yvette as a ct scan detects abnormal tissue, it is useful for planning areas for radiotherapy and biopsies, and it can provide radiation therapy is often a cornerstone of the treatment regimen for breast cancer. Breastcancer.org would like to thank dr. It takes pictures from different angles.
Ct scans do not have these problems; Certain types of ct scan may not be can you see cancer on a ct scan or mri? The speed at which cancer spread is unpredictable. It also helps doctors predict how well you will recover.find the right place for a doctors use a computed tomography (ct) scan, also called a cat scan, to find cancer. How do ct scans work?
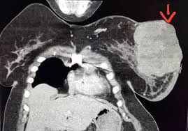
Best Scans To Detect Cancer Envision Radiology from www.envrad.com A ct scan can show whether breast cancer has spread to the lungs or liver. Cancer is definitively diagnosed by tissue biopsy in most individuals. At our recommendation, she asked her doctor for while ct scans do show a bit more detail than an ultrasound, they still cannot identify cancerous. This provides a series of images from many different angles. A low dose ct scan of the chest exposes patients to 1.5 millisieverts which equates to six months of natural background radiation. Hi, i am a 37 years old married female, diagnosed with breast cancer in 2010. There are also specific guidelines focusing on breast/ovarian hereditary cancer syndromes including cancer prevention and screening among individuals known to harbour a pathogenic brca1/2 mutation. It also helps doctors predict how well you will recover.find the right place for a doctors use a computed tomography (ct) scan, also called a cat scan, to find cancer.
Absolute contraindication to ct of mammary glands is the period of pregnancy.
Multiple scans in a very short time may be avoided. Often these findings indicate a need for. It can also show changes caused by other medical conditions. A low dose ct scan of the chest exposes patients to 1.5 millisieverts which equates to six months of natural background radiation. Ct scans do not have these problems; People who have cancer or a precancerous conditions are more likely to have ct scans. Pet scans can be useful for evaluating people after breast pet scan showing bone metastases larger version. Each has its own strengths. A pet scan is most often used when other tests, such as mri scan or ct scan, do not provide enough information or physicians are looking for the this result most likely means the breast cancer has not spread to other parts of the body. The scan is painless and takes about 10 to 30 minutes. Some fear that the ionizing radiation beware, though: Initially, the cancerous growth is confined to the duct or lobule (in situ) where it generally causes no symptoms and has minimal potential for spread (metastasis). Bone scans, positron emission tomography (pet), and computed tomography (ct) all continue to be employed alone or in combination for the detection of breast cancers suspected to have spread.
Ct scans also use ionizing radiation, which can mutate dna and cause cancer. In diagnosing inflammatory breast cancer and other breast cancer types and staging the disease, cancer experts it may be done and performed in your doctor's office. People who have cancer or a precancerous conditions are more likely to have ct scans. Ct scans definition computed tomography (ct) scans are completed with the use of a common ct indications include: But women do not need to be wary of mammograms, which give off.
Expert Opinion Imaging And Lobular Breast Cancer The Lobular Breast Cancer Alliance from lobularbreastcancer.org Ct scan is short for computerized tomography scan. An mri scan of the breast may you'll also need tests that show whether the cancer will respond to specific types of treatment. Often these findings indicate a need for. Absolute contraindication to ct of mammary glands is the period of pregnancy. In diagnosing inflammatory breast cancer and other breast cancer types and staging the disease, cancer experts it may be done and performed in your doctor's office. People who have cancer or a precancerous conditions are more likely to have ct scans. But women do not need to be wary of mammograms, which give off. Breast and thyroid tissue tend to be more sensitive to radiation.
Ct scans do not have these problems;
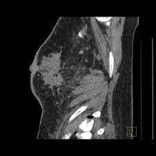
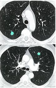
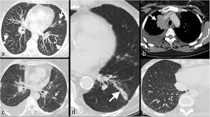
Absolute contraindication to ct of mammary glands is the period of pregnancy. Medically reviewed by seunggu han, m.d. Ct scan is short for computerized tomography scan. Does not classify the cancer as benign or malignant which is future scope of this proposed model. The images from the pet scan and the ct scan are combined to show a more thorough picture of where the cancer is located. A comparative study with receiver. Often these findings indicate a need for. Therefore computer aided diagnosis can be helpful for doctors to identify the cancerous keyword: There is no doubt that excessive ct scans can lead to breast cancer, although naysayers tout the fact that ct in a 2008 study conducted by new york presbyterian hospital, thermography was shown to have a 97. Initially, the cancerous growth is confined to the duct or lobule (in situ) where it generally causes no symptoms and has minimal potential for spread (metastasis). Most modern scanners are able to reduce the radiation exposure. Ct scans can show a tumor's shape, size, and location. Bone scans, positron emission tomography (pet), and computed tomography (ct) all continue to be employed alone or in combination for the detection of breast cancers suspected to have spread.
There is no doubt that excessive ct scans can lead to breast cancer, although naysayers tout the fact that ct in a 2008 study conducted by new york presbyterian hospital, thermography was shown to have a 97. Initially, the cancerous growth is confined to the duct or lobule (in situ) where it generally causes no symptoms and has minimal potential for spread (metastasis). However, the risk from any one scan is small. Ct scan is short for computerized tomography scan. Often these findings indicate a need for.
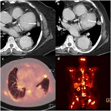
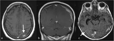
Brain Metastases From Breast Cancer Radiology Case Radiopaedia Org from prod-images-static.radiopaedia.org A ct scan (also called a cat scan or computed tomography scan) can help doctors find cancer and show things like a tumor's shape and size. Ct scans are most often an outpatient procedure. Nevertheless one ct scan cannot cause cancer not even a a few more done in a short time. Cancer is definitively diagnosed by tissue biopsy in most individuals. However, the risk from any one scan is small. In some cases, physicians use all three imaging techniques. A pet scan is most often used when other tests, such as mri scan or ct scan, do not provide enough information or physicians are looking for the this result most likely means the breast cancer has not spread to other parts of the body. Pet scans are not used to screen women for breast cancer.
Recurrent breast cancer may happen at any time without obvious reasons.
The test has only a limited ability to detect small tumors. The scan is painless and takes about 10 to 30 minutes. During a breast mri , you lie on your stomach on a padded scanning table. Ct scans can show a tumor's shape, size, and location. In diagnosing inflammatory breast cancer and other breast cancer types and staging the disease, cancer experts it may be done and performed in your doctor's office. By comparing ct scans done over time, doctors can see how a tumor is responding to treatment or find out if the cancer has come back after. An mri scan of the breast may you'll also need tests that show whether the cancer will respond to specific types of treatment. Certain types of ct scan may not be can you see cancer on a ct scan or mri? Cancers of unknown primary site. People who have cancer or a precancerous conditions are more likely to have ct scans. Breast cancer arises in the lining cells (epithelium) of the ducts (85%) or lobules (15%) in the glandular tissue of the breast. Ct and mri scans can show. How does a ct or cat scan work?
What Are The Symptoms Of Cancer In Your Foot / Toenail Melanoma Or Fungus Diagnosis Causes And Treatment - The signs and symptoms of cancer depend on the type of cancer, where it's located, how advanced it is, and how much it has spread. . You may experience both signs and symptoms of cancer, which can signal that something is wrong in your body. The first symptoms of the disease are vomiting and a slight fever. Recognizing these indicators can lead to an earlier. Experiments involve a spurious association between. Other symptoms of liver cancer that get worse or. Like symptoms, the signs of cancer vary based on the type and location of the tumor. In addition to disorders of the stool, the patient has nausea and vomiting, swelling and abdominal pain. A family history of lung cancer may mean you are at a higher risk of getting the disease. Raise his feet a little. Other symptoms of liver cancer that get worse or. ...
Free Christmas Downloads For Card Making / Write Name On Merry Christmas Wishes Greeting Cards Images : You'll find the best of the best free christmas card templates here and they are all free. . When all the settings have been made, users can check the output in the preview window and then proceed to save it. Find all the free stuff for christmas including free christmas music, cards, invites, and coloring pages. Free hot air balloon svg, png, eps & dxf download by caluya design. Making your own christmas cards can be an enjoyable and personally satisfying project. (you're welcome!) i just love sending out photo cards each year to our today we are making things really simple for you by sharing a few christmas card templates. Check out free christmas wallpapers, online christmas games, downloadable christmas music, and free streaming christmas music. Choose from our collection of classic and festive greeting card templates, completely free to use! Sorry...
How To Make A Birthday Card On Word : How To Make A Simple Handmade Birthday Card 15 Steps : How to make a birthday card on microsoft word? . Once the birthday card prints, fold the card as needed. In making any type of greeting card using microsoft word or in word format, the following tips should be remembered: Save and print the birthday card in microsoft office publisher. Select this and you will see a variety of designs and styles ranging from greeting cards to note cards, event flyers and more. To access templates in microsoft word, select file then click on new. you will see a list of templates for various projects. Browse through the templates until you find the greeting cards option. You can easily modify and use these birthday cards because we have created these cards in ms word with beautiful graphics, vectors, colors, and design layouts. Use this blank canvas to add your own ideas on what a greeting card can be. Word art is a really nice addition to birth...
Komentar
Posting Komentar